
0 μm
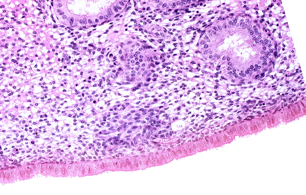
Carnegie Embryo #8020 | Location: 05-04-01
Keywords: edematous endometrial stroma (decidua), edge of endometrial gland, edge of syncytiotrophoblast, endometrial sinusoid, intact endometrial epithelium
Source: The Virtual Human Embryo.
