
0 μm
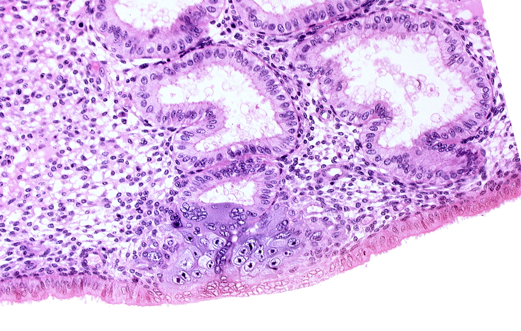
Carnegie Embryo #8020 | Location: 05-05-02
Keywords: cytotrophoblast, edematous endometrial stroma (decidua), endometrial epithelium, endometrial gland, intact endometrial epithelium, solid syncytiotrophoblast
Source: The Virtual Human Embryo.
