
0 μm
Carnegie Embryo #8020 | Location: 05-05-07
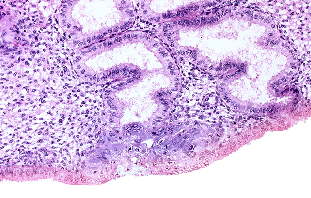
Keywords: cytotrophoblast, edge of blastocystic cavity (blastocoele), endometrial gland, endometrial sinusoid, extra-embryonic mesoblast, membranous trophoblast at abembryonic pole, space(s) within syncytiotrophoblast
Source: The Virtual Human Embryo.
