

0 μm
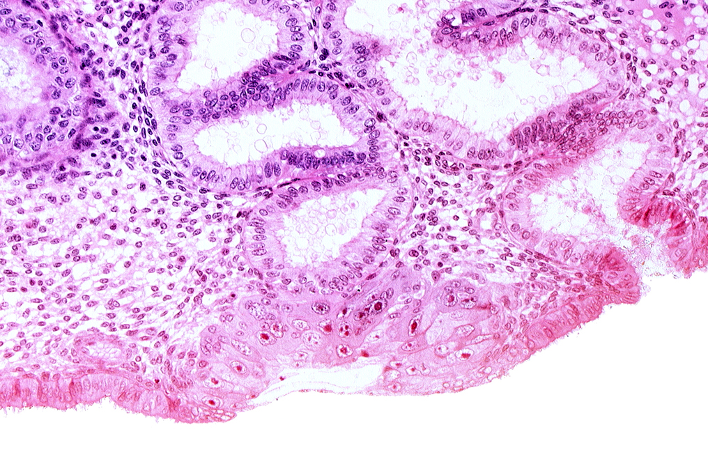
Carnegie Embryo #8020 | Location: 05-06-02
Keywords: blastocystic cavity (blastocoele), endometrial epithelium, endometrial gland, membranous trophoblast at abembryonic pole, mouth of endometrial gland, solid syncytiotrophoblast, uterine cavity
Source: The Virtual Human Embryo.