Skip Navigation

Carnegie Stage Section
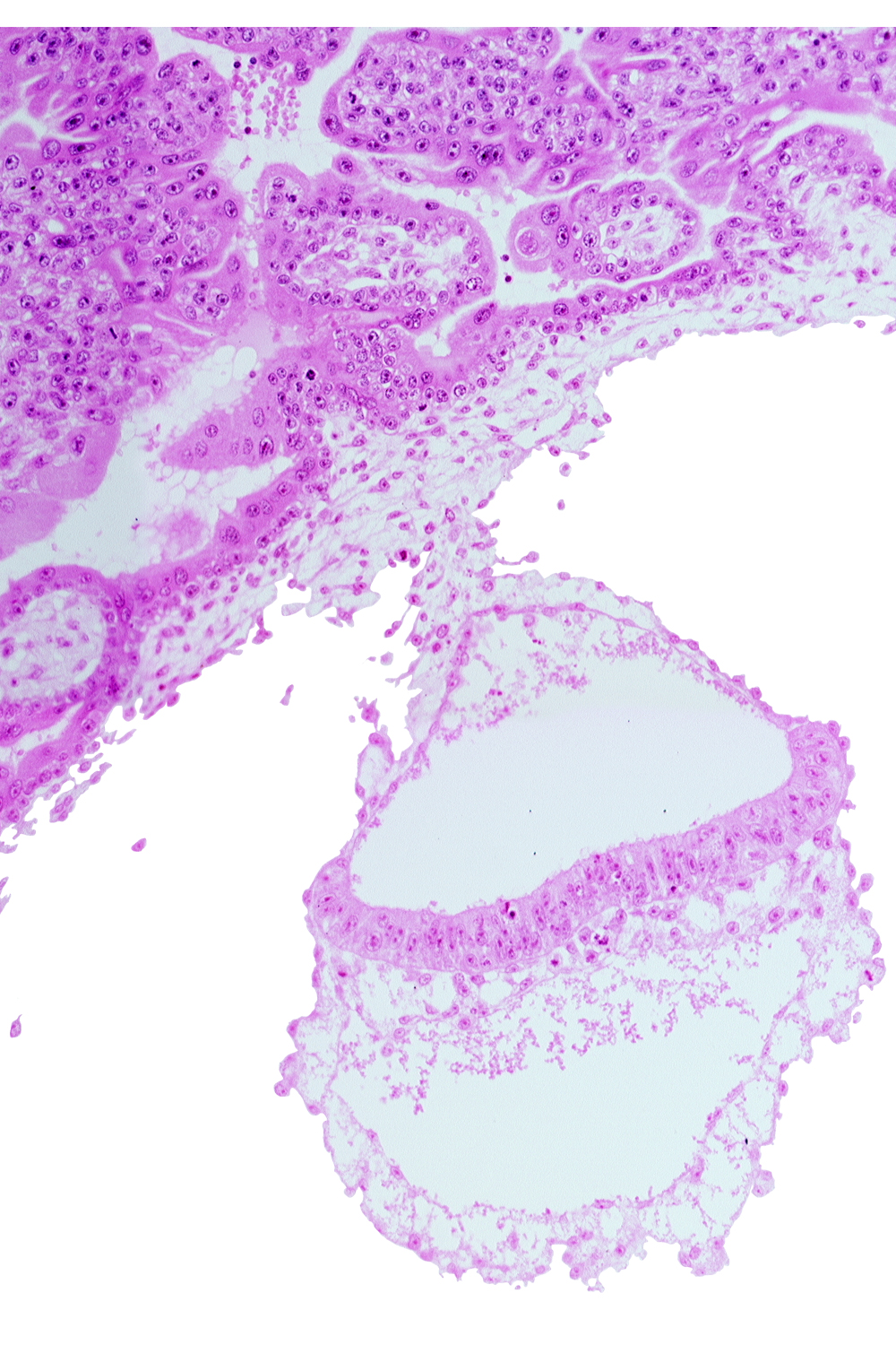
 <   >  search results: two-layered umbilical vesicle wall Search   7-33 7-34 7-35
amniotic mesenchyme, epiblast, head mesenchyme, hemangiogenic tissue, hypoblast, notochordal process, presumptive neural plate, two-layered amnion, umbilical vesicle wall
0 μm
Carnegie Embryo #7802   |   Location: 44-01-01

Keywords: amniotic mesenchyme, epiblast, head mesenchyme, hemangiogenic tissue, hypoblast, notochordal process, presumptive neural plate, two-layered amnion, umbilical vesicle wall

Source: The Virtual Human Embryo.