

0 μm
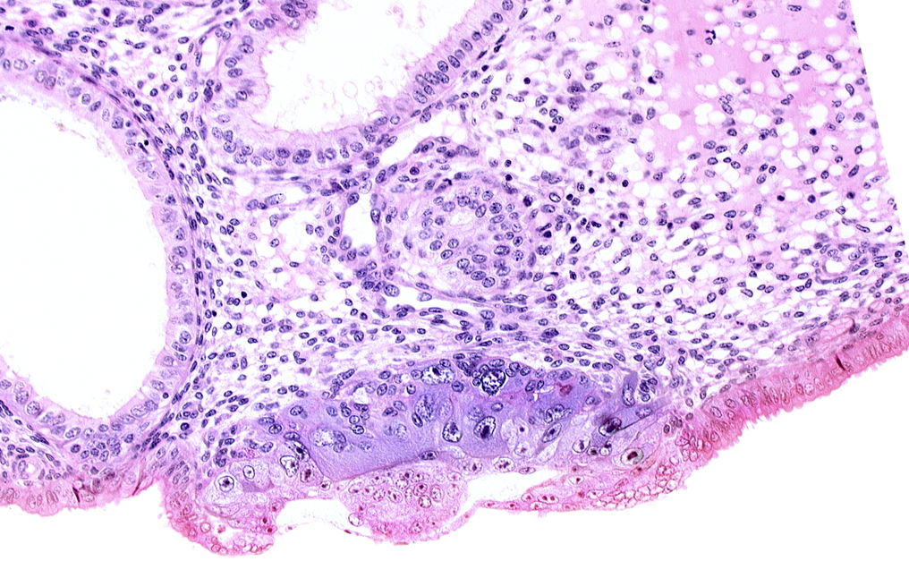
Carnegie Embryo #8020 | Location: 06-02-04
Keywords: blastocystic cavity (blastocoele), endometrial epithelium, endometrial sinusoid, epiblast, hypoblast, membranous trophoblast at abembryonic pole
Source: The Virtual Human Embryo.