
0 μm
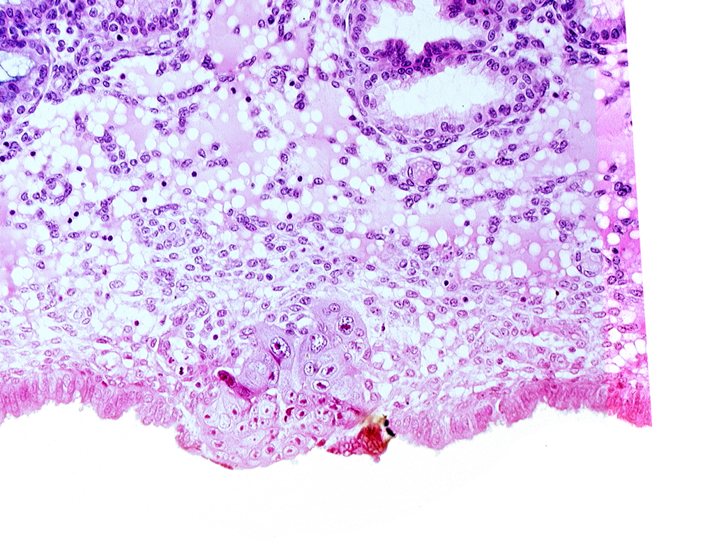
Carnegie Embryo #8155 | Location: 04-04-01
Keywords: cytotrophoblast, edematous endometrial stroma (decidua), endometrial epithelium, syncytiotrophoblast
Source: The Virtual Human Embryo.

Keywords: cytotrophoblast, edematous endometrial stroma (decidua), endometrial epithelium, syncytiotrophoblast
Source: The Virtual Human Embryo.