
0 μm
Carnegie Embryo #8155 | Location: 04-03-10
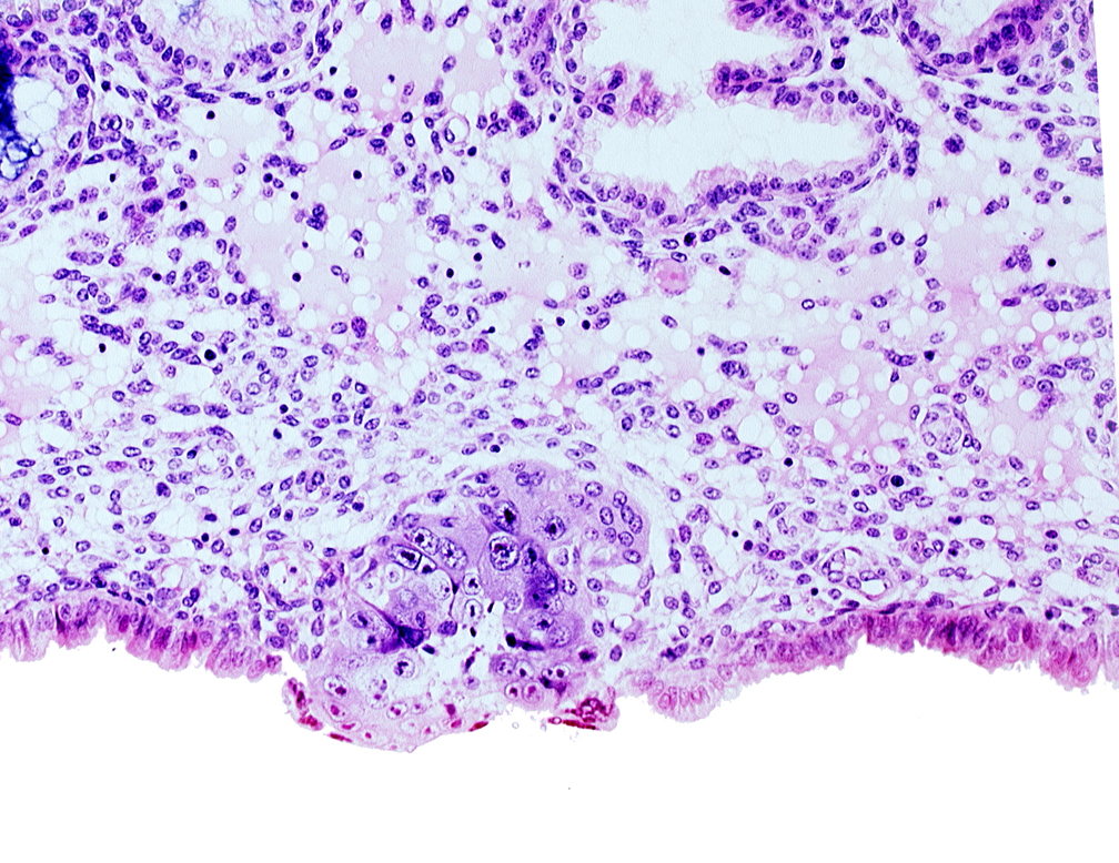
Keywords: cytotrophoblast, edge of blastocystic cavity (blastocoele), solid syncytiotrophoblast
Source: The Virtual Human Embryo.

Keywords: cytotrophoblast, edge of blastocystic cavity (blastocoele), solid syncytiotrophoblast
Source: The Virtual Human Embryo.