

0 μm
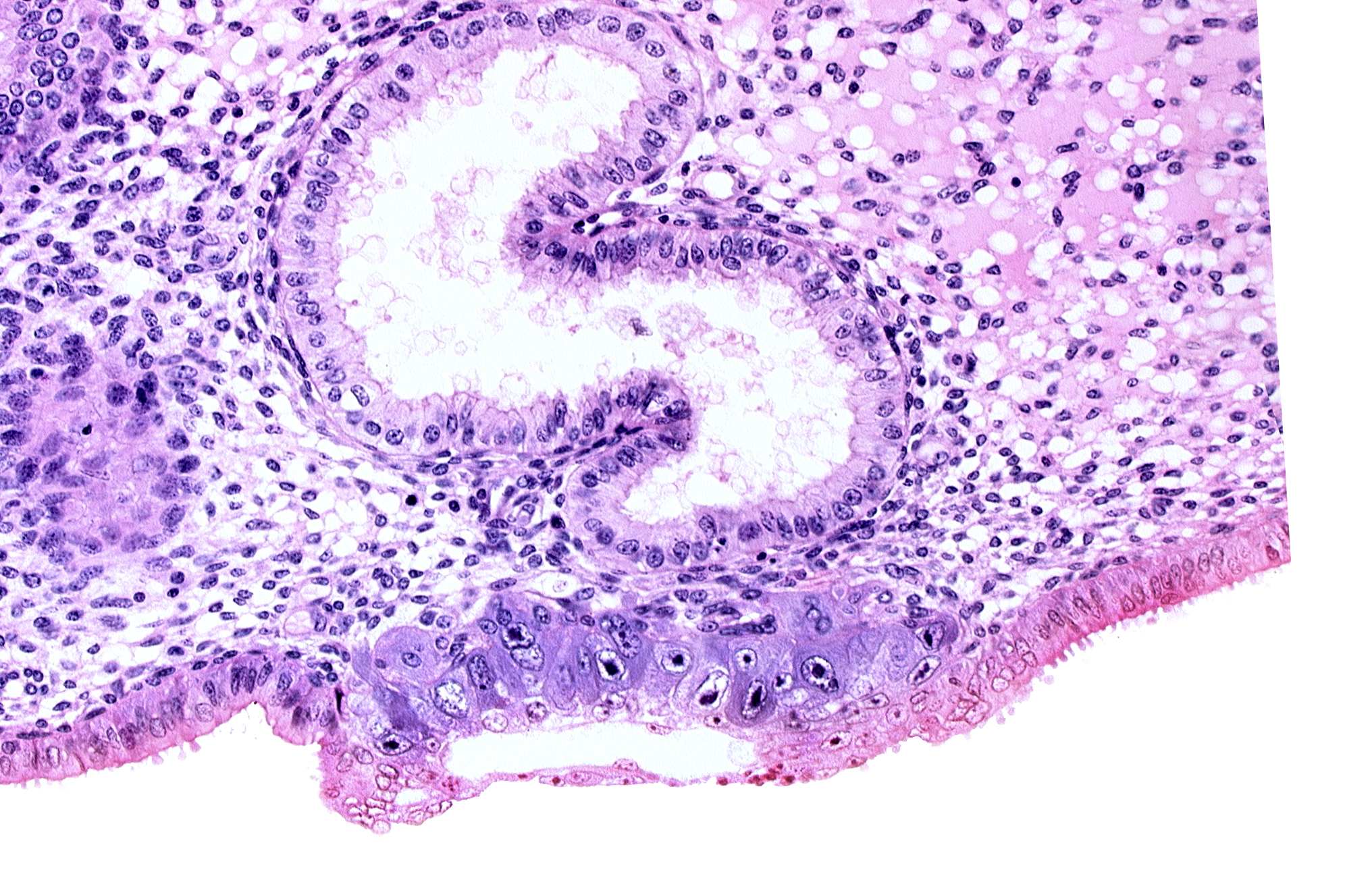
Carnegie Embryo #8020 | Location: 06-03-08
Keywords: blastocystic cavity (blastocoele), endometrial epithelium, endometrial gland, endometrial sinusoid, solid syncytiotrophoblast, trophoblast
Source: The Virtual Human Embryo.