

0 μm
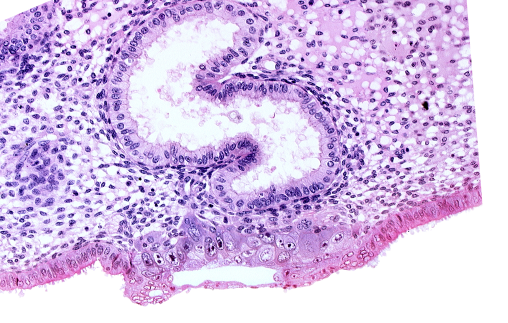
Carnegie Embryo #8020 | Location: 06-03-09
Keywords: blastocystic cavity (blastocoele), cytotrophoblast, edematous endometrial stroma (decidua), endometrial sinusoid, solid syncytiotrophoblast, syncytiotrophoblast / decidua interface, trophoblast, uterine cavity
Source: The Virtual Human Embryo.