

0 μm
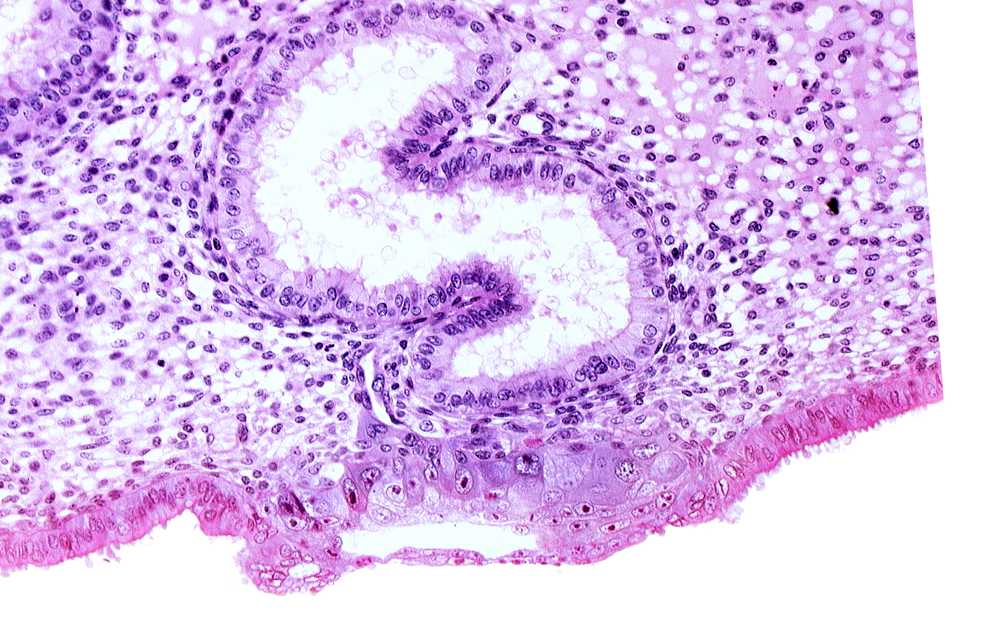
Carnegie Embryo #8020 | Location: 06-04-01
Keywords: blastocystic cavity (blastocoele), cytotrophoblast, endometrial epithelium, endometrial sinusoid, lumen of endometrial gland, solid syncytiotrophoblast, trophoblast
Source: The Virtual Human Embryo.