

0 μm
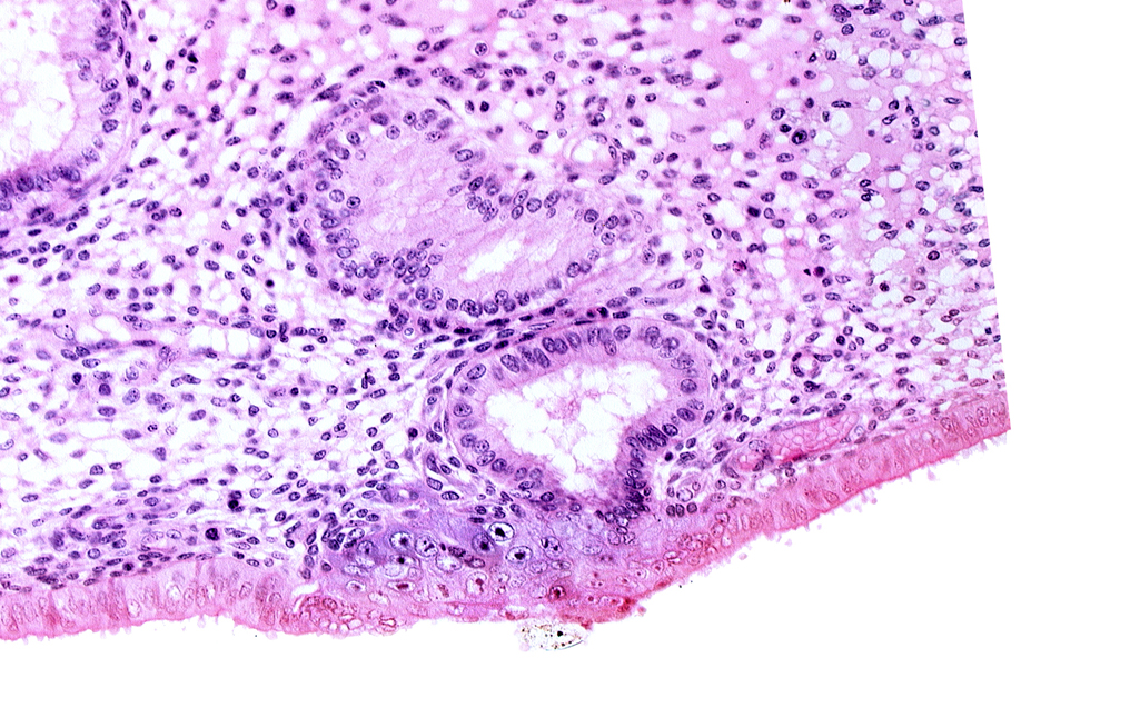
Carnegie Embryo #8020 | Location: 06-05-02
Keywords: disrupted endometrial epithelium, edematous endometrial stroma (decidua), endometrial gland, solid syncytiotrophoblast, syncytiotrophoblast / decidua interface
Source: The Virtual Human Embryo.