
0 μm
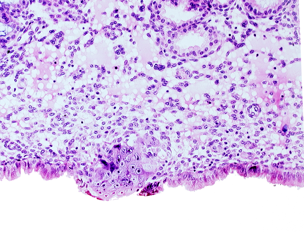
Carnegie Embryo #8155 | Location: 04-04-03
Keywords: cytotrophoblast, edematous endometrial stroma (decidua), endometrial epithelium, endometrial sinusoid, syncytiotrophoblast / decidua interface, uterine cavity
Source: The Virtual Human Embryo.
