
0 μm
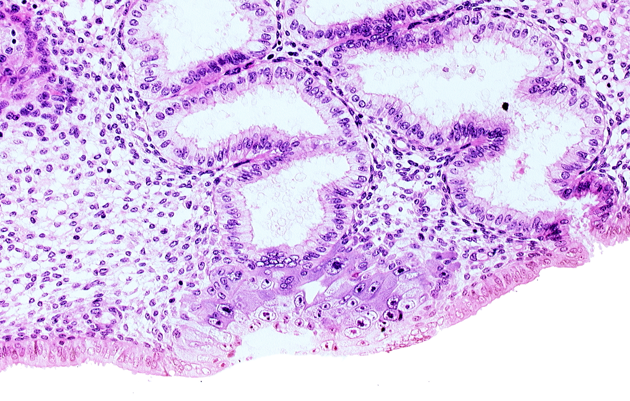
Carnegie Embryo #8020 | Location: 05-05-08
Keywords: blastocystic cavity (blastocoele), cytotrophoblast, endometrial epithelium, endometrial sinusoid, junction of endometrial gland and syncytiotrophoblast, membranous trophoblast at abembryonic pole, space(s) within syncytiotrophoblast
Source: The Virtual Human Embryo.
