
0 μm
Carnegie Embryo #8155 | Location: 04-03-08
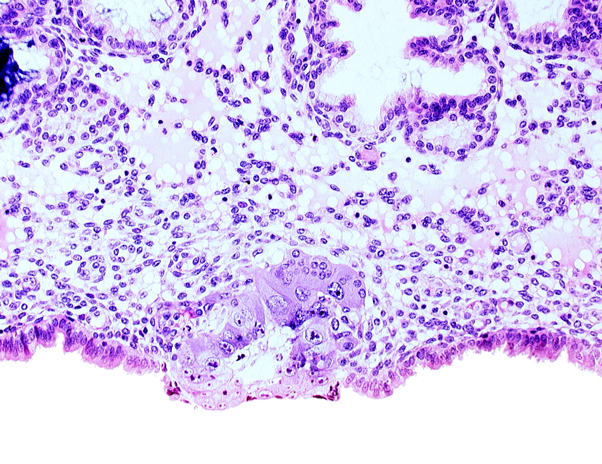
Keywords: blastocystic cavity (blastocoele), cytotrophoblast, solid syncytiotrophoblast
Source: The Virtual Human Embryo.

Keywords: blastocystic cavity (blastocoele), cytotrophoblast, solid syncytiotrophoblast
Source: The Virtual Human Embryo.