Skip Navigation

Carnegie Stage Section
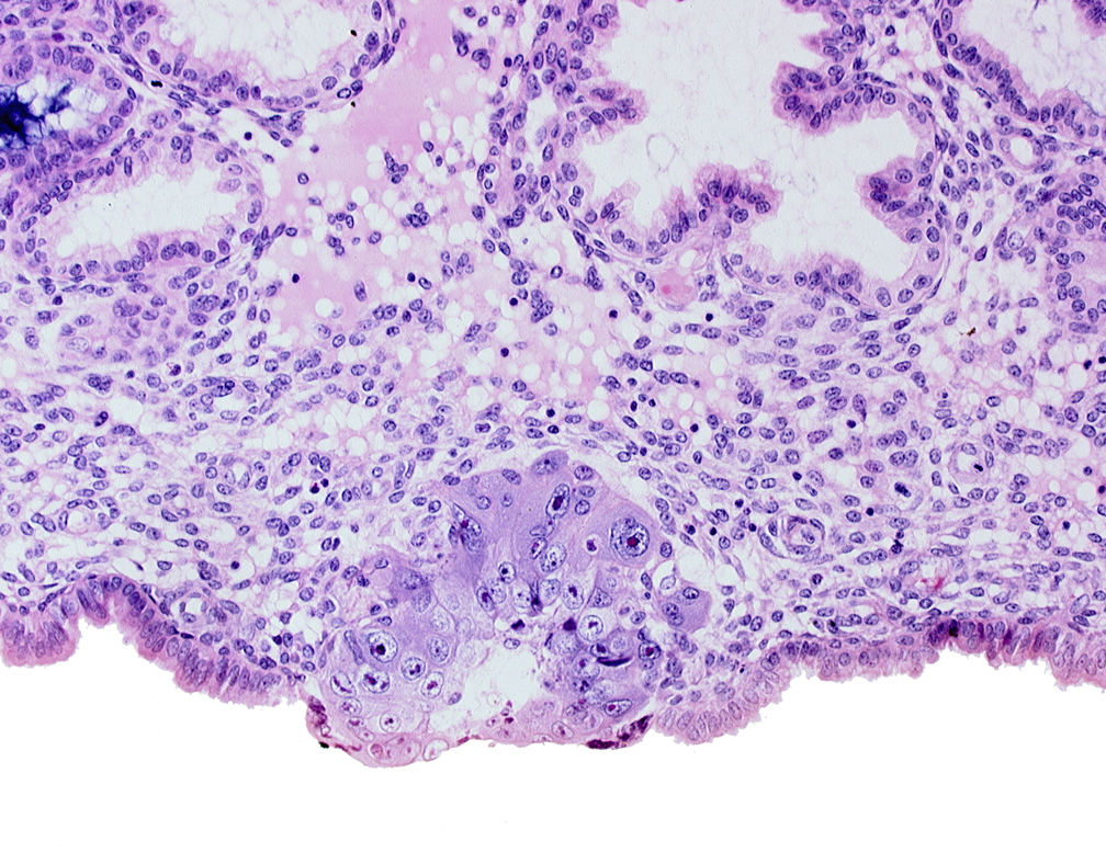
blastocystic cavity (blastocoele), cytotrophoblast, edge of membranous trophoblast at abembryonic pole, solid syncytiotrophoblast
0 μm
Carnegie Embryo #8155   |   Location: 04-03-04

Keywords: blastocystic cavity (blastocoele), cytotrophoblast, edge of membranous trophoblast at abembryonic pole, solid syncytiotrophoblast

Source: The Virtual Human Embryo.