
0 μm
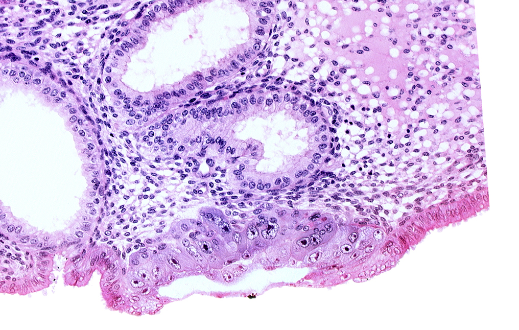
Carnegie Embryo #8020 | Location: 06-02-09
Keywords: amniotic cavity, edematous endometrial stroma (decidua), embryonic disc, endometrial epithelium, extra-embryonic mesoblast, syncytiotrophoblast / decidua interface
Source: The Virtual Human Embryo.
