
0 μm
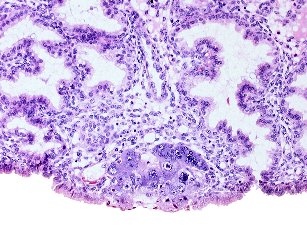
Carnegie Embryo #8155 | Location: 04-01-10
Keywords: blastocystic cavity (blastocoele), endometrial sinusoid, extra-embryonic mesoblast, membranous trophoblast at abembryonic pole, mouth of adjacent endometrial gland, syncytiotrophoblastic mass
Source: The Virtual Human Embryo.
