
0 μm
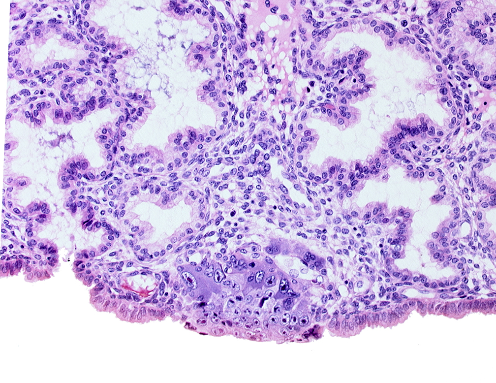
Carnegie Embryo #8155 | Location: 04-01-06
Keywords: cytotrophoblast, endometrial epithelium, endometrial sinusoid, endometrial stroma (decidua), mouth of adjacent endometrial gland, solid syncytiotrophoblast
Source: The Virtual Human Embryo.
